Unsere Ohren sind eines unserer wichtigsten Sinnesorgane, mit denen wir die Welt um uns herum wahrnehmen. Ein gesundes Gehör ist die Grundvorausetzung für das einwandfreie Empfinden akustischer Reize. Bei Erkrankungen oder Fehlbildungen des Gehörs bieten wir neben nicht-invasiven Behandlungsmethoden auch operative Eingriffe an unseren Standorten an.


verschiedene Formen von Paukenröhrchen


Paukenerguss (rechtes Ohr)


Attikoantrotomie, Rekonstruktion mit Attikspange (As) und Knochenchips (KC), A = Amboss


Kuppelraum- (= epitympanales) Cholesteatom mit Signalpolyp (linkes Ohr)


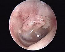
Subtotaler Trommelfelldefekt (rechtes Ohr)


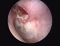
Subtotaler Trommelfelldefekt (rechtes Ohr)


Tympanoplastik Typ I mit Unterfütterung des Trommeldefektes (braun) mit Muskelhaut ( = Faszie) oder Knorpelhaut (= Perichondrium)


Tympanoplastik Typ II mit Überbrückung des Kettendefektes durch eine Titan-Winkelprothese


Tympanoplastik Typ III mit Interposition einer PORP-Mittelohrprothese (aus Titan) zwischen Trommelfellebene und Steigbügelköpfchen


Tympanoplastik Typ III mit Interposition einer TORP-Mittelohrprothese (aus Titan) zwischen Tronmmelfellebene und Fußplatte




Stapedotomie mit Eintauchen einer am langen Ambossschenkel fixierten Clip-Prothese (aus Titan) in den Vorhof (= Vestibulum) des Innenohres.
Chirurgische Eingriffe im Bereich der Ohren bieten wir an diesen Standorten an.
Vereinbaren Sie direkt einen Termin an einem unserer Standorte – das funktioniert auch ganz einfach online.
Nutzen Sie dazu einfach unser Online-Terminvereinbarungstool
Achtung: Für Wiedervorstellungstermine mit Untersuchungen bitten wir Sie um telefonische Terminvereinbarung!
Vereinbaren Sie direkt einen Termin an einem unserer Standorte – das funktioniert auch ganz einfach online.
Nutzen Sie dazu einfach unser Online-Terminvereinbarungstool.
Achtung: Für Wiedervorstellungstermine mit Untersuchungen bitten wir Sie um telefonische Terminvereinbarung!
Bei HNOeins verfolgen alle Mitarbeiter ein gemeinsames Ziel: unseren Patienten mithilfe von partnerschaftlicher Zusammenarbeit auf Augenhöhe zur schnellstmöglichen Genesung zu verhelfen.
Entsprechend handeln auch die Teams an den insgesamt neun Standorten in Bayern. Der Arbeitsalltag bei HNOeins ist geprägt von ausführlichem Austausch mit den Kollegen, individuellen Behandlungskonzepten für unsere Patienten unter Einbeziehung aller modernen wie naturheilkundlicher Behandlungsmethoden und einem echten Teamgefühl.
Bei HNOeins verfolgen alle Mitarbeiter ein gemeinsames Ziel: unseren Patienten mithilfe von partnerschaftlicher Zusammenarbeit auf Augenhöhe zur schnellstmöglichen Genesung zu verhelfen.
Entsprechend handeln auch die Teams an den insgesamt neun Standorten in Bayern. Der Arbeitsalltag bei HNOeins ist geprägt von ausführlichem Austausch mit den Kollegen, individuellen Behandlungskonzepten für unsere Patienten unter Einbeziehung aller modernen wie naturheilkundlicher Behandlungsmethoden und einem echten Teamgefühl.
Bei HNOeins verfolgen alle Mitarbeiter ein gemeinsames Ziel: unseren Patienten mithilfe von partnerschaftlicher Zusammenarbeit auf Augenhöhe zur schnellstmöglichen Genesung zu verhelfen.
Entsprechend handeln auch die Teams an den insgesamt neun Standorten in Bayern. Der Arbeitsalltag bei HNOeins ist geprägt von ausführlichem Austausch mit den Kollegen, individuellen Behandlungskonzepten für unsere Patienten unter Einbeziehung aller modernen wie naturheilkundlicher Behandlungsmethoden und einem echten Teamgefühl.
Bei HNOeins verfolgen alle Mitarbeiter ein gemeinsames Ziel: unseren Patienten mithilfe von partnerschaftlicher Zusammenarbeit auf Augenhöhe zur schnellstmöglichen Genesung zu verhelfen.
Entsprechend handeln auch die Teams an den insgesamt neun Standorten in Bayern. Der Arbeitsalltag bei HNOeins ist geprägt von ausführlichem Austausch mit den Kollegen, individuellen Behandlungskonzepten für unsere Patienten unter Einbeziehung aller modernen wie naturheilkundlicher Behandlungsmethoden und einem echten Teamgefühl.
Bei HNOeins verfolgen alle Mitarbeiter ein gemeinsames Ziel: unseren Patienten mithilfe von partnerschaftlicher Zusammenarbeit auf Augenhöhe zur schnellstmöglichen Genesung zu verhelfen.
Entsprechend handeln auch die Teams an den insgesamt neun Standorten in Bayern. Der Arbeitsalltag bei HNOeins ist geprägt von ausführlichem Austausch mit den Kollegen, individuellen Behandlungskonzepten für unsere Patienten unter Einbeziehung aller modernen wie naturheilkundlicher Behandlungsmethoden und einem echten Teamgefühl.
Bei HNOeins verfolgen alle Mitarbeiter ein gemeinsames Ziel: unseren Patienten mithilfe von partnerschaftlicher Zusammenarbeit auf Augenhöhe zur schnellstmöglichen Genesung zu verhelfen.
Entsprechend handeln auch die Teams an den insgesamt neun Standorten in Bayern. Der Arbeitsalltag bei HNOeins ist geprägt von ausführlichem Austausch mit den Kollegen, individuellen Behandlungskonzepten für unsere Patienten unter Einbeziehung aller modernen wie naturheilkundlicher Behandlungsmethoden und einem echten Teamgefühl.
Bei HNOeins verfolgen alle Mitarbeiter ein gemeinsames Ziel: unseren Patienten mithilfe von partnerschaftlicher Zusammenarbeit auf Augenhöhe zur schnellstmöglichen Genesung zu verhelfen.
Entsprechend handeln auch die Teams an den insgesamt neun Standorten in Bayern. Der Arbeitsalltag bei HNOeins ist geprägt von ausführlichem Austausch mit den Kollegen, individuellen Behandlungskonzepten für unsere Patienten unter Einbeziehung aller modernen wie naturheilkundlicher Behandlungsmethoden und einem echten Teamgefühl.